在美国斯坦福大学生物工程系亓磊副教授的实验室里,博士生陈心怡盯着显微镜的屏幕,感到十分困惑。
她原本想让嵌合抗原受体T(CAR-T)细胞识别并杀死癌细胞,可诡异的是,一些CAR-T细胞的表面竟然出现了不属于它们的分子,这些分子似乎是从癌细胞身上“偷”来的。
陈心怡的导师亓磊多年来一直关注着免疫细胞之间的相互作用。了解到这件事后,亓磊告诉陈心怡,这或许正是“胞啃”(trogocytosis)现象。
去抓犯人的卧底警察,同伴却以为你已经叛变
所谓“胞啃”,描述的是一种奇特的细胞行为:当两个细胞紧密接触时,它们会从对方细胞表面“啃”下一小块细胞膜,连同膜上的分子一起转移到自己身上。这是一个古老的机制,早在20世纪70年代,免疫学家就注意到了这种奇特的现象。但直到21世纪初,它才有了“胞啃”这个形象而略显粗暴的名字。
这个看似简单的过程,既是陈心怡所面临的难题,多年来也一直困扰着免疫学家:当CAR-T细胞紧贴癌细胞并发生胞啃后,它们可能会把癌细胞表面的一些标志性分子带到自己身上。于是,这些原本负责追杀癌细胞的免疫细胞,外表就会开始变得像癌细胞。

CAR-T细胞原本应精确识别并杀死癌细胞丨图虫创意
这会带来双重麻烦。一方面,这些被“污染”的CAR-T细胞自身功能有可能受损。同时,其他CAR-T细胞又可能将变了样的同伴错当成癌细胞,转而攻击队友。
亓磊打了个比方,用电影《无间道》来形容这种困境:你本来是去抓犯人的卧底警察,结果同伴却以为你已经叛变,反过来要置你于死地。
翻阅着一篇又一篇关于“胞啃”的论文,陈心怡心里有些沮丧,原来这并不是什么新鲜发现。几十年来,科学家一直在试图阻止胞啃的发生,把它当作必须消除的副作用。但亓磊和陈心怡意识到,胞啃不只是副作用,而是一个大自然已经优化了几亿年的“接口”。
两个细胞只要“握一下手”,就能将自己表面的分子带到对方身上。这难道不是一种天然的递送机制吗?只不过与传统的递送方式不同,这里负责运货的是一个活生生的细胞。这种特殊之处或许正是解决药物递送难题的关键,尤其是CRISPR等基因编辑工具的递送。
基因编辑的三大挑战:递送、递送、递送
对亓磊而言,这正是他梦寐以求的目标。从博士阶段开始,他就在研究和开发基于CRISPR的基因编辑工具。2012年,他曾与其博士生导师、身为诺奖得主的CRISPR技术先驱珍妮弗·杜德纳(Jennifer Doudna)合作,是最早一批探索利用CRISPR进行基因编辑的研究者之一。
再强大的基因编辑工具,也都得先送进细胞才能发挥作用,但在活体内直接使用CRISPR进行基因编辑始终困难重重。CRISPR技术诞生至今已有十几年,但真正能在临床体内应用的目前也只有一两个。许多正在临床测试中的疗法,效果也不及预期。
问题并不出在CRISPR技术本身,而是卡在了递送上。

CRISPR技术诞生至今已有十几年,但真正能在临床体内应用的目前也只有一两个丨图虫创意
目前能用来递送基因编辑工具的办法并不多,主流选择无非是病毒载体和脂质体等。但病毒递送伴随着安全性和免疫原性方面的担忧,脂质体递送又容易富集到肝脏,因此针对肝脏以外的疾病往往效果不佳。
递送难题早已成为基因编辑领域的共识,甚至是整个生物医学界都默认的一道难关。诺奖得主、研究生物正交化学的卡罗琳·贝尔托齐(Carolyn Bertozzi)和亓磊的实验室在斯坦福大学的同一栋楼,她曾半开玩笑地对亓磊说:“你们基因编辑领域最大的三个挑战,就是递送、递送、递送。”
而胞啃或许就是这个突破口。亓磊认为,在基因编辑领域,人们过去更多是在现有递送方式上修修补补,试图解决其中的问题并提升效果,但这些方法从一开始就带有某些根本性的限制。他们需要走一条全新的路径,看看能否解决现有方法无法解决的问题。
生物学家里,十有八九都没听说过它
可真要把胞啃变成一种递送工具,远没有听上去那么简单。
胞啃被发现至今已经过去了几十年,但科学家对它的了解依然相当有限。这个词在生物学之外几乎鲜为人知,就连在专业圈子里,它也算不上一个广为人知的概念。亓磊估计,即便是有生物学背景的人,十个里恐怕也有八个没听说过胞啃。
更麻烦的是,科学家对于胞啃的了解,还停留在现象描述上。人们只知道某些细胞类型之间能发生胞啃,却并不清楚它是如何开始的,以及背后有哪些分子机制。至于那些被“啃”下来的细胞膜和膜上的分子,在进入另一个细胞之后会经历什么,也都没有清晰的答案。
陈心怡手里并没有可供参考的“地图”,却要在这样的基础上开发一种全新的递送工具,这无疑是一场冒险。不过在亓磊看来,科学研究正需要这种更前瞻、更具探索性的尝试。他回忆起2012年开始研究CRISPR技术时的情景,那时他连Cas9长什么样都不知道,可还是硬生生将它改造成了能在细胞里调控转录的CRISPRi工具。
正是抱着这样的探索心态,他们决定一边研究胞啃的机制,一边试着将它改造成一种用于递送的工具。
研究很快有了一些发现。胞啃现象发生需要满足一定条件,它取决于胞啃细胞表面是否存在特定的分子“指纹”,能否相互识别并进而“握手”。只有当两个细胞建立起足够“亲密”的连结,胞啃才会发生。同时胞啃现象发生得非常快,两个细胞接触之后,往往几分钟内就会开始相互“啃食”。




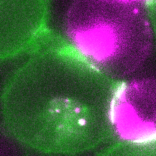
粉色细胞正在通过胞啃将红色荧光蛋白mCherry递送给绿色细胞丨受访者供图
而且,能够发生胞啃的细胞可能远比人们以为的多得多。他们在实验室里测试了近10种细胞,结果都能发生胞啃。结合人类蛋白质图谱(Human Protein Atlas)数据库进一步推算,他们发现人体内很可能有近100种细胞都能通过特定方式被精准引导发生胞啃。
一个思路逐渐清晰起来:既然CAR-T细胞疗法的核心是改造T细胞,让它特异而紧密地结合癌细胞,那么同样的方法也许可以被化用到这里。只要让改造后的细胞能主动、精准地贴近目标细胞,那么它或许就能借助胞啃,把自己携带的成分递送出去。
向自然学习,或可绝处逢生
但事情再次偏离了设想。
当陈心怡开始尝试用工程化改造过的细胞来递送时,她发现尽管这些细胞能将细胞膜上的分子递送给目标细胞,但绝大部分递送过去的分子都没有功能。它们进入了目标细胞的溶酶体,被那里的酸性环境降解了。她尝试了不少办法,结果都是如此。
陈心怡不得不重新审视前人的观察。过去一些研究曾报道某些分子会通过胞啃出现在其他细胞表面,但现在看来,这些分子未必真的具有功能。它们有可能只是粘在那儿,很不稳定,洗几次就掉了。
这个发现一度让她非常沮丧。前人的研究经验可能并未展现故事的全貌,她不能把那些结论视为理所当然。
不过,既然能从“糟糕”的胞啃现象中找到新用途,那么能否也从溶酶体出发寻找突破口,让那些分子在降解之前逃离溶酶体呢?顺着这个思路,他们开始尝试前人用过的一些策略,仍然一次又一次地失败了。
接连碰壁之后,他们选择将目光重新投回自然界本身。多年来,亓磊实验室一直秉承着一个原则:很多看似棘手的技术难题,也许早已在自然演化中出现了某种解法。从大自然中寻找灵感,把自然界中的东西变成人类能够利用的东西,也是研究生物工程的乐趣所在。
于是他们提出了一个思路:向病毒学习。自然界中的某些病毒在感染细胞后,必须先进入较早期的溶酶体,再设法逃逸出来,才能继续生命历程。如果病毒能在这样的环境中成功脱身,那么病毒身上的某些元件也许能帮助那些通过胞啃进入细胞的分子逃离溶酶体。
最终,他们找到了水疱性口炎病毒上的一种蛋白质——VSVG。陈心怡试着把VSVG整合到了用于胞啃递送的工程细胞表面。这次的结果终于不一样了:目标细胞表面明显出现了由工程细胞递送而来的、有功能的蛋白质。更让人兴奋的是,这一现象在他们测试的几乎所有目标细胞类型中都能看到。

胞啃递送示意图丨ChatGPT
沿着酸性环境这条线索,他们又找到了一段会在酸性条件下自动切割的氨基酸序列,并把它接到了想递送的目标蛋白质上。这样一来,当这些蛋白质随着胞啃进入目标细胞内部、到达早期溶酶体后,就会在酸性环境中从膜上脱落,再借助VSVG逃离至目标细胞的细胞质乃至细胞核。陈心怡把这个过程形容为“坐缆车”:递送的蛋白质先借由胞啃进入目标细胞,然后在溶酶体里下车,最终去往自己真正该去的地方。

胞啃递送机制丨受访者供图
由此,通过胞啃递送的蛋白质类型和用途也大大拓宽了。借助这些“胞啃使者”,他们不仅递送了基因编辑工具,也递送了能用于杀伤癌细胞的成分,甚至还递送了碱基编辑器这类体积更大、通常难以用病毒等方法运送的分子机器。
最终,他们将这些结果整理成论文,并于今年4月发表在了《自然·细胞生物学》[1](Nature Cell Biology)上。
去思考一些边缘、甚至奇怪的问题
不过在亓磊看来,这些成果只是一个开始。
成功让活细胞利用胞啃来递送大分子固然是关键的一步,但亓磊还有更大的野心,他希望将这些“胞啃使者”开发成可编程的活体递送系统:当这些细胞进入体内后,它们将能自主识别多种疾病信号,主动抵达该去的器官和靶细胞。
亓磊认为,这种设想背后也许是一种新的医学图景:“传统药物都是基于化学的,但未来的医学将很大程度上基于生物学。基于活细胞来制药是我们的愿景。这种方法能实现传统化学药物无法实现的精准性和可编程性。”从发明CRISPRi来调控基因转录,到利用胞啃来解决递送问题,他的研究始终是构建一套完整的生命编程系统。
为了走向这个目标,他们还要回答许多更具体的问题。比如,不同类型细胞之间的胞啃究竟有哪些差异,哪种细胞更适合在体内充当“胞啃使者”,以及一旦这种方法真的在人体内应用会造成哪些影响。
在免疫治疗中,胞啃常常以副作用的面貌出现。可在正常生理条件下,胞啃究竟扮演着什么角色,人们并不完全清楚。它或许是细胞之间交换信息的一种方式,或许能增强某些细胞的功能,也可能参与免疫系统的调节。但这些猜想大多还在等待更加扎实的证据。

亓磊(左)和陈心怡(右)丨受访者供图
对陈心怡而言,这条路走到现在,最深的感受是科研的不确定性。她说:“科研没有一条最好的路径,也很难有什么时间点来判断自己做的东西究竟还能走多远。我们总是在遇见预期之外的事情,有时是惊喜,有时是失败,但这也正是科研最美妙的点。”
而在亓磊看来,他们的工作提醒着人们,奇怪的现象背后通常隐藏着更重要的生物学意义,它们值得深入研究。他说:“我们不是在修补一个现有的工具,而是在定义一种全新的递送范式。通过胞啃,我们让细胞具备了像生物计算机一样精准传输信息的能力。这正是编程生命的核心。”
参考文献
[1] https://www.nature.com/articles/s41556-026-01920-0
作者:黄雨佳
编辑:黎小球
封面图来源:Nano Banana 2

